Pilonidal Abscess: What Radiology Reveals

P.Encode 123 views
Pilonidal Abscess: What Radiology Reveals

Pilonidal Abscess: What Radiology Reveals

Hey everyone! Today, we’re diving deep into the world of pilonidal abscesses , a condition that can be super uncomfortable and frankly, a bit mysterious for many. We’ll be focusing specifically on how radiology plays a crucial role in diagnosing and understanding these pesky little issues. So, grab your virtual stethoscopes, guys, because we’re about to explore what the images tell us about this condition.

Understanding the Pilonidal Abscess: The Basics

So, what exactly is a pilonidal abscess ? Let’s break it down. Basically, it’s a collection of pus that forms in the cleft of the buttocks, near the tailbone. The name itself comes from Latin: ‘pilus’ meaning hair and ‘nidulus’ meaning nest. Pretty cool, right? It often happens when loose hairs get embedded in the skin, causing irritation and leading to an infection. This infection then forms an abscess, which is essentially a swollen, painful pocket of pus. While it’s most common in young adults, especially men, and often linked to prolonged sitting or jobs that involve a lot of driving, anyone can get one. The symptoms can range from mild discomfort to severe, throbbing pain, redness, swelling, and sometimes even fever. It’s definitely something you don’t want to mess with, and seeking medical attention is key. The initial diagnosis often involves a physical examination by a doctor who can see and feel the swollen area. They’ll be looking for signs of infection, like tenderness, redness, and fluctuation (a feeling of looseness under the skin, indicating pus). However, sometimes, especially if the situation is complex, recurrent, or if there’s suspicion of other conditions, imaging becomes essential. This is where our main topic, radiology , steps in to provide a clearer picture of what’s going on beneath the surface. It helps confirm the diagnosis, assess the size and extent of the abscess, and rule out other potential issues that might mimic a pilonidal abscess, ensuring you get the right treatment plan tailored just for you. Understanding this initial phase really sets the stage for appreciating why medical imaging is so darn important in managing this condition effectively.

The Role of Radiology in Pilonidal Abscess Diagnosis

Now, let’s get to the heart of the matter: radiology and its indispensable role in diagnosing pilonidal abscesses . When a doctor suspects a pilonidal abscess, especially if it’s a tricky case, recurrent, or if they need to understand its full scope, imaging techniques are called upon. These imaging modalities allow healthcare professionals to visualize the soft tissues, detect the presence of fluid collections (like pus), and determine the size and exact location of the abscess. This information is absolutely vital for planning the most effective treatment. Without radiology, doctors might be working with less precise information, potentially leading to incomplete treatment or the need for further interventions down the line. It’s like trying to fix something in the dark versus having a spotlight on the problem; radiology provides that crucial illumination. The primary imaging techniques we’re talking about here are ultrasound, CT scans, and MRI scans. Each has its own strengths and is chosen based on the clinical situation, the suspected severity, and what information the doctor needs most. For instance, ultrasound is often the first-line imaging modality due to its accessibility, affordability, and ability to clearly identify fluid collections. CT scans can offer a broader view and are great for assessing bone involvement or more complex infections, while MRI provides the most detailed images of soft tissues and is particularly useful for complex or recurrent cases where you need to see the extent of the inflammation and involvement of surrounding structures. So, you see, radiology isn’t just a fancy add-on; it’s a fundamental tool that empowers doctors to make informed decisions, leading to better outcomes for patients dealing with pilonidal abscesses. It’s all about getting the most accurate diagnosis possible to kickstart the most effective treatment journey.

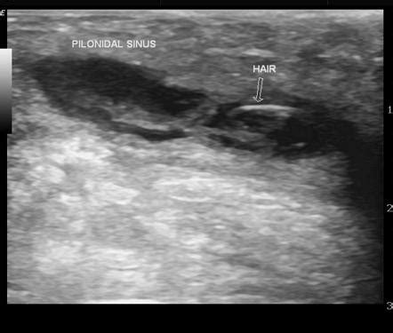
Ultrasound: The Go-To Imaging Modality

When it comes to imaging a pilonidal abscess , ultrasound is often the first tool in the radiologist’s toolkit, and for good reason, guys. It’s readily available, relatively inexpensive, and provides excellent real-time visualization of soft tissues, making it fantastic for detecting fluid collections like those pesky abscesses. The way ultrasound works is by bouncing sound waves off your body’s tissues and then interpreting the echoes to create an image. For a pilonidal abscess, the sonographer will use a transducer, which is like a wand, and apply a gel to the skin over the affected area. This gel helps to get good contact and transmit the sound waves effectively. As they move the transducer around, they’ll be looking for specific signs. The abscess itself typically appears as a well-defined, anechoic or hypoechoic area – basically, a dark or grayish area on the ultrasound screen, indicating a fluid-filled space. You might also see thickened walls around this collection, which signifies the body’s inflammatory response. The beauty of ultrasound is its ability to differentiate between solid and cystic structures. So, it can confirm that what they’re seeing is indeed an abscess filled with pus, rather than a solid tumor or other mass. Furthermore, ultrasound can help assess the size of the abscess, its depth, and its relationship to nearby structures, like muscles or blood vessels. This information is crucial for surgical planning, helping the surgeon decide on the best approach for drainage or excision. In some cases, ultrasound can even be used during the drainage procedure, guiding the needle precisely into the abscess cavity to ensure complete evacuation of the pus. This real-time guidance is a huge advantage. While ultrasound is great, it’s important to remember that it’s highly dependent on the skill of the sonographer and can sometimes be limited in obese patients or if there’s a lot of gas in the bowel overlying the area. But generally speaking, for initial evaluation and confirmation of a pilonidal abscess, ultrasound is a true workhorse in the radiology department.

CT Scans: A Wider View

While ultrasound is often the initial go-to for pilonidal abscesses , sometimes we need to widen our view, and that’s where CT scans (Computed Tomography) come into play. Think of a CT scan as a super-powered X-ray that takes multiple cross-sectional images of the body. These slices are then put together by a computer to create detailed three-dimensional views. CT scans are particularly useful when the abscess is suspected to be large, complex, or when there’s concern about the infection spreading beyond the immediate area, potentially involving deeper tissues or even bone. For a pilonidal abscess, a CT scan allows radiologists to see the abscess cavity very clearly, measure its dimensions accurately, and determine its precise location relative to surrounding anatomical structures. This is super important because the pilonidal area is quite complex, with muscles, nerves, and blood vessels all in close proximity. A CT scan can also help identify any associated complications, such as fistulous tracts (abnormal tunnels connecting the abscess to the skin surface or other structures) or surrounding cellulitis (a spreading skin infection). Sometimes, contrast dye is injected intravenously before the CT scan. This dye highlights blood vessels and areas of inflammation, making the abscess and any associated inflammatory changes stand out even more vividly on the images. This can be especially helpful in differentiating the abscess from other types of lesions or in assessing the extent of the infection. While CT scans provide excellent detail and a comprehensive overview, they do involve radiation exposure, which is a consideration, though generally considered safe for diagnostic purposes. They also typically require the patient to lie still in a scanner for a period, which can be challenging for some. However, for cases where a more extensive evaluation is needed, or when ultrasound findings are inconclusive, the CT scan offers a powerful radiology tool to ensure a thorough understanding of the pilonidal abscess and guide management effectively.

MRI: The Gold Standard for Complex Cases

When things get really complicated with a pilonidal abscess , or if it’s a recurring problem, MRI (Magnetic Resonance Imaging) often becomes the gold standard in radiology . Unlike CT scans which use X-rays, MRI uses powerful magnets and radio waves to create incredibly detailed images of the body’s soft tissues. What this means for pilonidal abscesses is that MRI can provide an unparalleled view of the extent of the infection, how deep it goes, and whether it’s affecting surrounding structures like muscles, nerves, or even the spinal canal in very rare, severe cases. Why is this so crucial, you ask? Well, pilonidal disease can sometimes be tricky. It’s not just about the obvious lump of pus; there can be hidden tracts or small pockets of infection that are difficult to see with other imaging methods. MRI excels at visualizing these subtle inflammatory changes and sinus tracts, which are often the reason why these abscesses keep coming back. By mapping out these complex pathways, MRI helps surgeons plan more precise and effective surgical interventions, aiming to remove all the infected tissue and reduce the chances of recurrence. The detail provided by MRI is astonishing. It can differentiate between acute infection (inflammation and pus) and chronic changes (scar tissue), which is important for treatment decisions. Often, contrast material is injected intravenously for MRI as well. This contrast agent highlights areas of active inflammation, making the abscess and any infected tracts light up on the images, giving the radiologist and the clinician an even clearer roadmap. While MRI offers superior soft-tissue detail, it’s important to note that it takes longer than a CT scan, and patients need to remain very still. Also, certain metallic implants can be a contraindication for MRI. However, for those challenging, recurrent, or deep-seated pilonidal abscesses, MRI provides the most comprehensive and detailed radiology assessment, truly guiding the way towards the best possible treatment outcomes.

Interpreting the Findings: What Radiologists Look For

So, when a radiologist looks at the images – be it an ultrasound, CT, or MRI – of a suspected pilonidal abscess , what are they specifically searching for? Guys, it’s like a detective hunt for clues! The primary goal is to confirm the presence of an abscess, which is essentially a collection of pus. On imaging, this typically appears as a well-defined area of fluid. In ultrasound , it’s often seen as a dark (anechoic) or mixed-echogenicity area with potentially thickened walls. On CT and MRI , these collections usually show up as areas of low signal intensity on certain sequences, often with a rim that enhances brightly after contrast administration, indicating inflammation. Another key thing radiologists look for is the size and extent of the abscess. Is it a small, localized collection, or is it a large, sprawling one? This information directly influences how it will be managed. They also assess its location relative to important anatomical structures. Is it superficial, or is it deep? Is it near the midline, or off to one side? This helps surgeons plan their approach. A critical finding, especially in recurrent cases, is the presence of sinus tracts . These are abnormal tunnels that can extend from the abscess or the original pit in the skin. Radiologists meticulously look for these tracts, as their identification is crucial for successful surgical treatment. They might appear as thin, linear areas of abnormal enhancement after contrast. The radiologist will describe the course, length, and any branching of these tracts. Finally, they are on the lookout for associated findings that might indicate a more complex situation. This could include surrounding inflammation of the skin and subcutaneous tissues (cellulitis), evidence of bone infection (osteomyelitis, though rare), or other rare complications. Interpreting these findings requires a deep understanding of both anatomy and pathology, making the radiology report a vital piece of the puzzle for the treating physician managing the pilonidal abscess . The radiologist’s detailed description helps paint a clear picture, guiding the clinician towards the most appropriate and effective treatment strategy for the patient.

Conclusion: The Power of Imaging in Pilonidal Care

In conclusion, my friends, the role of radiology in the diagnosis and management of pilonidal abscesses cannot be overstated. From the initial detection of a fluid collection with ultrasound , to assessing the broader anatomical context with CT scans , and finally, to obtaining the most detailed view of complex or recurrent disease with MRI , these imaging modalities are indispensable tools. They provide objective evidence, delineate the extent of the pathology, and help rule out other conditions, empowering physicians to make informed decisions about treatment. Whether it’s guiding a simple drainage procedure or planning a complex surgical excision, the information gleaned from radiology ensures that patients receive the most appropriate and effective care. So, the next time you hear about a pilonidal abscess, remember that behind the scenes, sophisticated imaging techniques are working diligently to illuminate the problem and pave the way for healing. It’s a testament to how far medical technology has come in helping us understand and treat conditions that, while perhaps not life-threatening, can significantly impact a person’s quality of life. The accurate interpretation of these images is key, turning shadows and signals into actionable insights for better patient outcomes. Keep staying informed, guys!