Abdomen CT Scan: What You Need To Know

P.Encode 70 views
Abdomen CT Scan: What You Need To Know

Understanding the Abdomen CT Scan

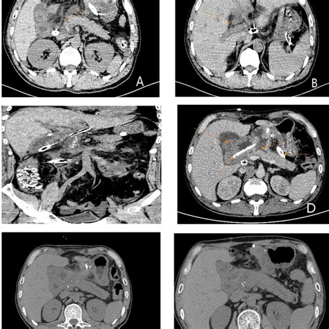
Hey guys, let’s dive into the world of medical imaging, specifically focusing on the abdomen CT scan . If you’ve ever had or are about to have one, you probably want to know what’s going on, right? Well, you’ve come to the right place. A CT scan, or computed tomography scan, is a powerful diagnostic tool that uses X-rays to create detailed cross-sectional images of your body. When we talk about an abdomen CT scan , we’re specifically looking at the organs and structures within your abdominal cavity. This includes vital parts like your liver, kidneys, spleen, pancreas, intestines, stomach, and even major blood vessels. It’s like having a super-detailed, 3D look inside your belly without needing to go in with a scalpel. Doctors use it to spot a whole range of issues, from infections and inflammation to tumors and injuries. The technology behind it is pretty neat – essentially, the CT scanner takes multiple X-ray images from different angles, and a computer then pieces them together to form incredibly precise slices of your abdomen. This allows for early detection and accurate diagnosis, which, as we all know, is super important for getting the right treatment plan in place. So, when your doctor suggests an abdomen CT scan , it’s because they need a clearer picture of what might be causing your symptoms, or to monitor a known condition. It’s a non-invasive procedure that provides a wealth of information, making it a cornerstone of modern diagnostic medicine. We’ll be breaking down what it involves, why it’s done, and what you can expect, so stick around!

Why Doctors Order an Abdomen CT Scan

So, why exactly would your doctor recommend an abdomen CT scan ? There are a ton of reasons, but they generally boil down to needing a closer look at what’s happening internally. One of the most common uses is to investigate abdominal pain . If you’ve got persistent or severe pain in your belly, a CT can help pinpoint the cause, whether it’s appendicitis, kidney stones, gallstones, diverticulitis, or something else entirely. It’s a fantastic tool for spotting these kinds of acute conditions quickly. Beyond just pain, CT scans are crucial for diagnosing and staging cancer . They can detect tumors in abdominal organs like the liver, pancreas, or colon, and help determine if the cancer has spread to other areas. This information is absolutely vital for planning the best course of treatment, whether that involves surgery, chemotherapy, or radiation. We also use abdomen CT scans to look for signs of infection or inflammation . Conditions like abscesses (collections of pus) or inflammatory bowel disease (like Crohn’s disease or ulcerative colitis) can often be visualized on a CT scan. If you’ve had an injury to the abdomen, a CT scan is often the go-to imaging method to check for internal bleeding or damage to organs. This is especially important in trauma situations where time is critical. Furthermore, doctors use CT scans to monitor the effectiveness of treatments for various abdominal conditions or to check for recurrence of disease after treatment. It’s also used to guide biopsies, where a small sample of tissue is taken from an organ for examination. So, as you can see, the abdomen CT scan is a versatile and indispensable tool in a doctor’s arsenal for a wide range of diagnostic and monitoring purposes. It gives them the detailed insights they need to make informed decisions about your health.

What to Expect During Your Abdomen CT Scan

Alright, let’s talk about the nitty-gritty: what actually happens during an abdomen CT scan ? Don’t worry, it’s generally a straightforward and painless procedure. First off, you’ll likely be asked to change into a hospital gown. This is just to make sure your clothing doesn’t interfere with the X-ray images. You might also be asked to remove any jewelry, glasses, or hairpins, as metal can cause artifacts on the scan. Before the scan begins, a technologist will explain the process to you and answer any questions you might have. Then, you’ll be asked to lie down on a table that’s part of the CT scanner. This table will slide into the opening of the scanner, which looks like a large, donut-shaped machine. It’s important to lie as still as possible during the scan. Even small movements can blur the images, so try to relax and hold your breath when the technologist asks you to. The scanner itself rotates around you, taking the X-ray images. You won’t feel anything during this process – no pain, no discomfort. You’ll be able to communicate with the technologist through an intercom system, and they’ll be watching you the whole time. In some cases, you might be given a contrast dye. This is a special liquid that helps certain tissues and blood vessels show up more clearly on the CT images. The contrast can be given either orally (you drink it) or intravenously (injected into a vein). If you’re given oral contrast, you might need to start drinking it a couple of hours before the scan. If it’s injected, you’ll feel a warm sensation, which is totally normal. The actual scanning part usually only takes a few minutes, although you might be in the room for a bit longer for preparation and positioning. Once the scan is complete, the table will slide out, and you’ll be able to get up. If you had IV contrast, you’ll be asked to wait a short while to ensure you don’t have any allergic reactions. So, in a nutshell, an abdomen CT scan involves lying still on a table while a machine takes X-rays from different angles. It’s quick, painless, and provides invaluable information for your doctor. Pretty easy, right?

Preparing for Your Abdomen CT Scan

Getting ready for an abdomen CT scan is pretty simple, guys, but there are a few things you need to know to make sure everything goes smoothly. The most important piece of advice is to follow your doctor’s instructions precisely . They’ll give you specific guidelines based on your individual health and the reason for the scan. Usually, you’ll be asked to fast for a certain period before the scan, typically four to six hours. This means no food or drink, including water. Fasting is important because having food or liquid in your stomach or intestines can sometimes interfere with the clarity of the images, especially if you’re having contrast dye. Always double-check with your doctor about how long you need to fast and what constitutes